next up previous print clean
Next: PS regularization Up: Results Previous: Results

PP regularization

Figure [*] presents the PP data for one crossline of the data set in study. Observe the holes in the data due to irregularities in the geometry acquisition.

 
data
data
Figure 2
One PP crossline section of the data in study
view burn build edit restore

Biondi and Vlad 2001 examined the differences among regularizing the data with normalization, regularization with the leaky integration operator and regularization with the AMO operator. They conclude that the precondition of the regularized least-squares problem with the AMO operator yields more continuous results.

On this part of the problem, we only present the final interpolation results using normalization and AMO regularization. Figure [*] presents the fold maps calculated using both normalization (top) and AMO regularization (bottom). Note that even though the fold maps are similar, as expected, the fold distribution is smoother using AMO regularization. Also note that with AMO regularization, the fold reduces to the half. This fact affects the final solution of the least-squares problem.

 
fold
Figure 3
Fold, using normalization (top) and AMO regularization (bottom)
fold
view burn build edit restore

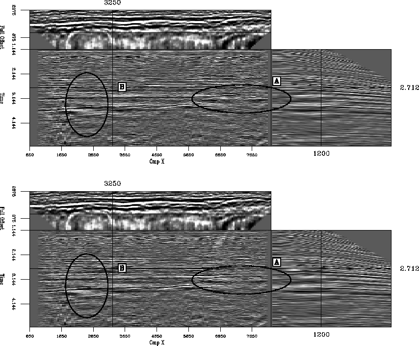
Figure [*] compares the result of geometry regularization using normalization (top) and AMO regularization (bottom). Differences lie in the amplitudes and the borders.

 
comp
comp
Figure 4
Data regularization results, using normalization (top) and the AMO operator (bottom). Note the main difference in the dipping events in the areas A and B
[*] view burn build edit restore


next up previous print clean
Next: PS regularization Up: Results Previous: Results
Stanford Exploration Project
11/11/2002